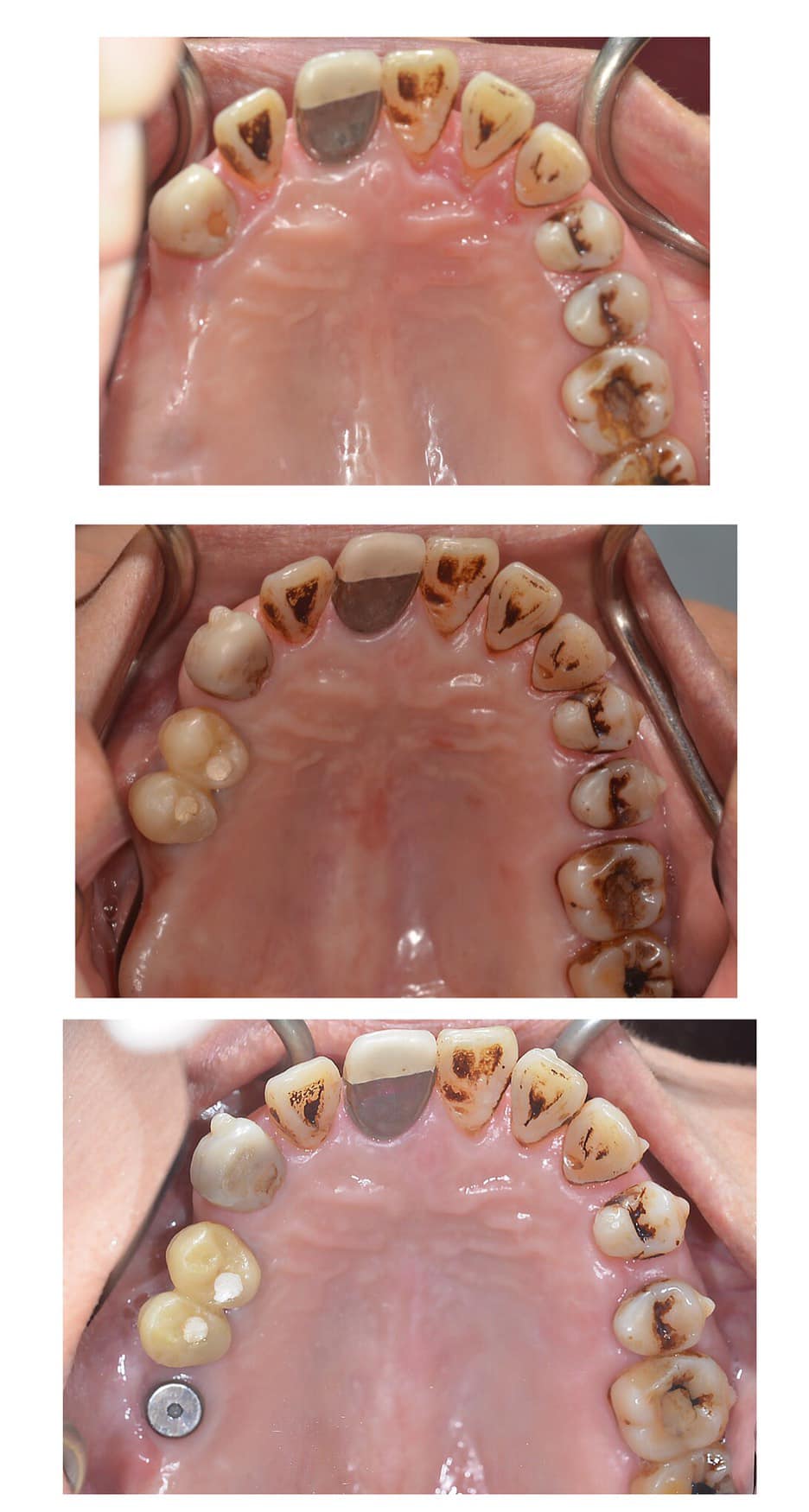
因為缺少『後牙』(大臼齒、小臼齒)
🦷造成咬合垂直高度逐漸喪失
然後🔜『前牙』(門牙、小門牙、犬齒)往外飛之後🔜深咬就出來了
環環相扣一個都不能少#牙齒真的真的很重要
ℝ𝔼的治療計劃真的也是很辛苦要先重建咬合垂直高度

再把飛出去的門牙收回來

深咬也要開啊開啊開圖❹𝕒𝕟𝕕圖❺
可以看到右上後牙區跟左下後牙區完完全全沒空間
矯正調整再加上植牙醫師一起進行這項療程
雖然速度很慢但是我們也是前進了好多👏🏻👏🏻👏🏻👏🏻👏🏻👏🏻
⚠️開垂直高度這個部份真的只能慢,不然顳顎關節會受不了的 🙅🏻‍♀️
老話一句,慢工出細活
為什麼現在空隙那麼多𝔸𝕟𝕤.因為我們門牙要繼續往後收
相關詳細問題問 蔡宜廷醫師 啦啦啦啦啦
這個要解釋起來真的不是打字可以講明白的
以上報告完畢😎

台中牙齒矯正專家

台中隱適美鑽石級矯正專家、Line 官方帳號IG 官方帳號